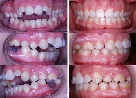
II classe con estrazioni:
prima dopo
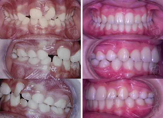
Terapia intercettiva:
prima dopo
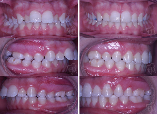
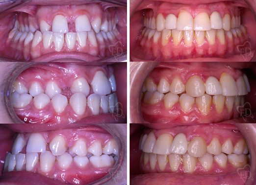
Malocclusione II classe senza estrazioni:
prima dopo
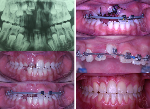
Inclusione dentaria multipla
Malocclusione III classe agenesia incisivi laterali:
prima dopo
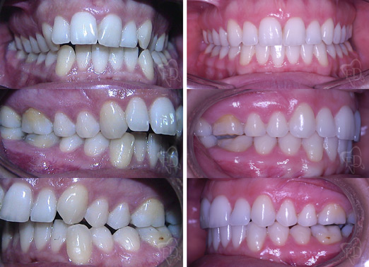
Malocclusione II classe adulto:
prima dopo